Autres types de greffes
Pose d’un implant dentaire incisif supérieur avec greffon osseux
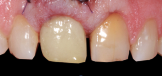
Chez cette patiente l’incisive latérale supérieure droite était absente. Le scanner a montré une épaisseur d’os insuffisante. Nous avons décidé de réaliser une greffe osseuse composée d’os de la patiente mélangé à du bio-os et à des facteurs de croissance issus du plasma sanguin de la patiente.
Ce greffon a été maintenu par une membrane de collagène fixée à l’os par des petits pins. L’implant de diamètre 3,1 a été posé dans le même temps.
Manque de hauteur d’os compensé par la technique Endoret BTI
Au centre implantaire lorsque nous n’avons pas assez de hauteur d’os pour poser des implants, nous avons recours à des implants courts que nous enfouissons partiellement.
Ensuite, nous mélangeons l’os recueilli lors du forage osseux à du bio-os et à du plasma sanguin du patient (riche en facteur de croissance)
Ce mélange chauffé dans un plasmatherm à 37 degrés va nous donner un substitut osseux solide qui recouvrira la partie des implants non enfouis dans l’os de la mâchoire.



6 mois plus tard les couronnes sont posées sur les implants parfaitement ostéo intégrés.

Implantation immédiate d’un implant dentaire antérieur (canine ou incisive)
L’attente peut être difficile pour les patients qui doivent se faire extraire une dent visible comme une incisive ou une canine. Traditionnellement, il faut patienter plusieurs mois pour que l’os cicatrise avant de poser un implant, puis encore quelques mois pour la couronne définitive. L’implantation immédiate est une technique qui permet de réduire considérablement ce délai.
Cette procédure, lorsqu’elle est possible, offre une solution à la fois esthétique et fonctionnelle. Immédiatement après avoir retiré la dent, le chirurgien-dentiste peut poser l’implant. Pour cela, l’implant choisi est plus long et plus large que l’espace laissé par la racine de la dent, assurant ainsi une bonne stabilité.
Si la paroi osseuse située à l’avant du site d’extraction est abîmée, le chirurgien peut la reconstruire en même temps que la pose de l’implant. Pour cela, il prélève une petite quantité d’os à l’arrière de la mâchoire supérieure, une zone appelée tubérosité, et la greffe pour combler le défaut.
Une fois l’implant et la greffe en place, une couronne provisoire est fixée immédiatement. Cela permet non seulement de masquer l’absence de dent, mais aussi de préserver l’esthétique du sourire et de garantir le confort du patient. Cette approche permet de diminuer le nombre d’interventions chirurgicales et d’éviter aux patients de porter une prothèse amovible pendant la phase de cicatrisation.

photo 1 : Pose de l’implant et dans le même temps, comblement osseux au contact de la face antérieure de l’implant

photo 2 : dans la même séance sera posée une dent provisoire
